
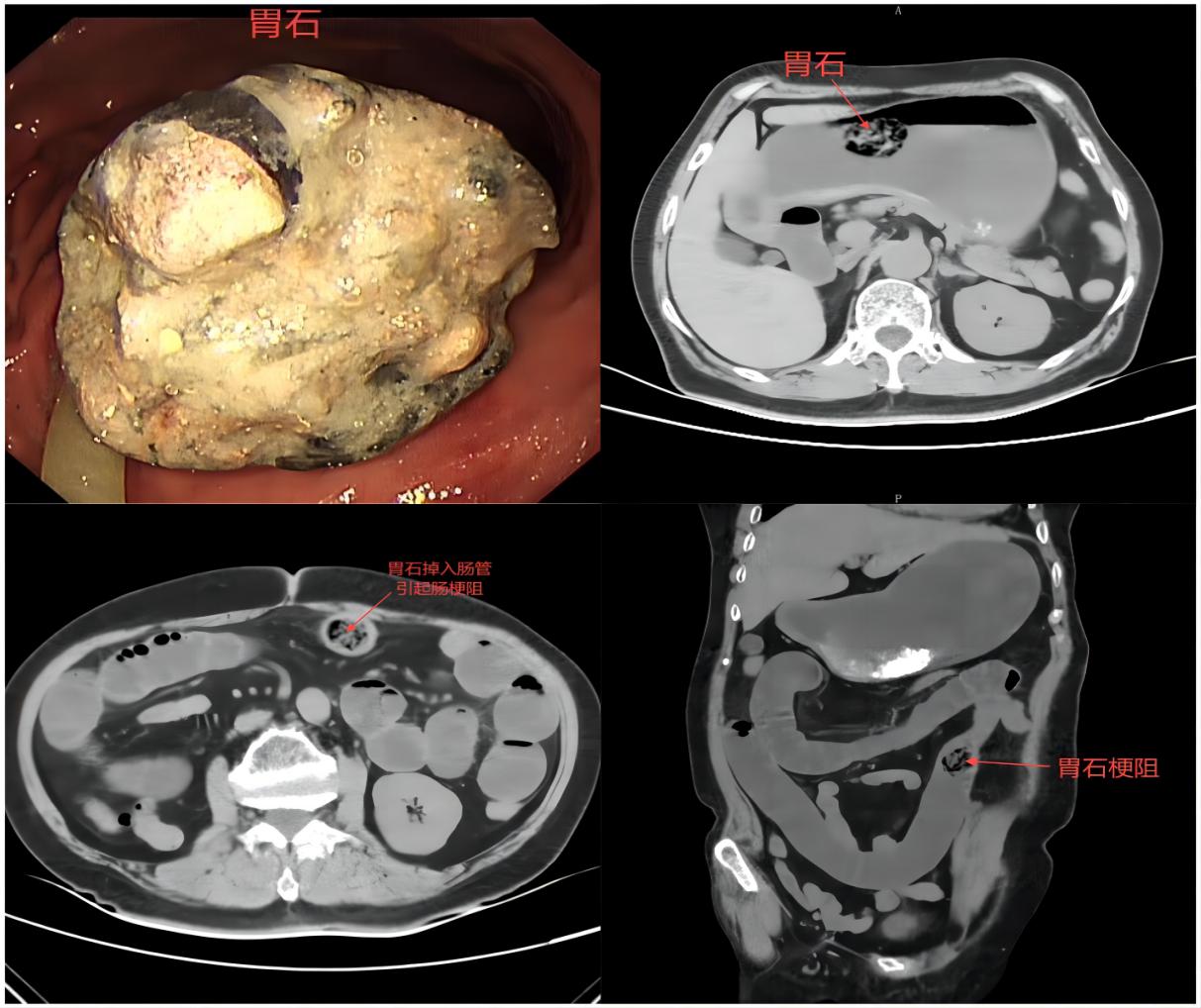
胃石,顾名思义,是指发生在胃部的结石。柿子中含有较多的鞣酸,这些鞣酸在胃酸的作用下容易与食物中的蛋白质结合,形成不溶于水的沉淀物,当这些沉淀物在胃内逐渐聚集、增大时,便会形成胃石。胃石会阻碍胃的正常蠕动,引起胃痛、胃胀、恶心、呕吐等症状,甚至可能导致消化道梗阻、溃疡等严重后果。
如何预防胃石呢?首先,避免空腹大量食用柿子。最好在饭后食用,并且一次不要吃太多。其次,不要将柿子与酸性食物、酒类、高蛋白食物等同时食用,以免增加患胃石的风险。此外,对于胃肠功能不好的老年人来说,更应注意适量食用柿子。
在此提醒,食用柿子后,若出现胃痛、胃胀、恶心、呕吐等胃石相关症状,应及时就医检查,切勿自行处理,避免延误病情。
作者:张君晴
一审:李宏伟
二审:符 蓉
三审:杨尚真

医院地址: 湖南省怀化市正清路431号(东院);迎丰西路72号(西院)
湘ICP备14007685号-1 咨询电话: 07452286100
急救电话:0745-2236300 0745-2999120
网站声明:怀化市中医院 版权所有 Copyright @ 2014 网址:www.hhszyyy.com
特别声明:本网站信息仅供参考,不能作为诊疗及医疗依据,如有疑问请在线咨询
湘公网安备 43120202000028号